Minimally invasive fillings are transforming dental care in Plymouth MN. People now want dental solutions that prioritize comfort, efficiency, and healing. These fillings meet those needs by focusing on less pain. You avoid lengthy procedures. Instead, you experience faster healing. The focus is on preserving tooth structure. This approach not only addresses current concerns but also promotes long-term dental health. Dentists in Plymouth use cutting-edge techniques. The main goal is to ensure a stress-free visit. A short recovery period means you quickly return to daily activities. People increasingly prefer these fillings for their ease and advantages. The move towards less invasive options is not just a trend. It signifies a shift in how you perceive dental care. Your well-being is the priority. However, the benefits extend beyond the immediate. They lay the groundwork for healthier smiles. This change in approach can redefine your dental experience for the better.
Reason 1: Less Pain, More Comfort
Table Contents
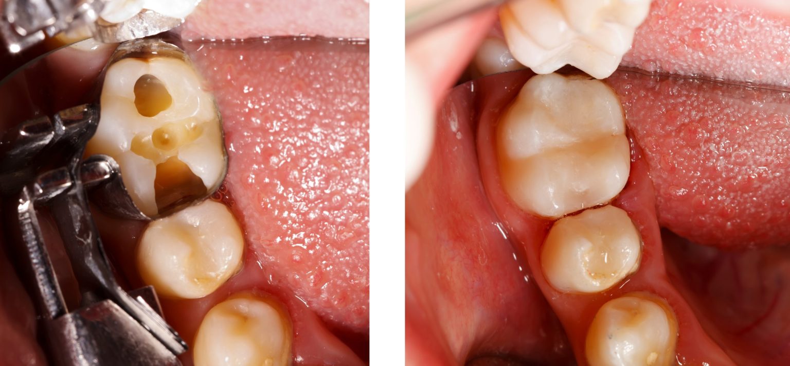
Minimally invasive fillings emphasize comfort. Traditional fillings often bring discomfort. With these new methods, you face less pain. The procedures use advanced tools that precisely remove decay. It spares healthy parts of your tooth. This precision means less drilling. Consequently, you experience less soreness afterward. A numbing agent is typically enough, sparing you from general anesthesia. This means fewer side effects. You can go about your day right after the visit.
The focus is on your ease. Less pain helps reduce dental anxiety. You feel more at ease visiting the dentist. This encourages regular check-ups. Regular visits catch potential issues early. This approach ultimately benefits your dental health in the long run.
Reason 2: Quick Recovery, Lasting Results
Minimally invasive fillings offer quick recovery. With traditional fillings, healing can take longer. The new approach ensures you are back to normal fast. The recovery process is smoother because there is less trauma to the tooth. You can eat and drink soon after the procedure. There is no need to plan your day around recovery time.
Your teeth remain stronger because more of your natural tooth is preserved. This strength translates to long-lasting results. These fillings don’t just fix a problem. They contribute to healthier teeth in the future. Staying proactive with dental health saves you from complicated procedures later.
Reason 3: Preserving Natural Tooth Structure
Preserving natural tooth structure is key. Minimally invasive techniques remove only what is necessary. You retain more of your original tooth. This preservation keeps your mouth healthier. It also prevents further decay, as there is less disruption to your tooth.
This focus on preservation aligns with modern dental practices. It prioritizes your long-term health. Maintaining more of your natural tooth means fewer issues down the line. You can avoid more complex treatments, too. It’s a win for your dental future.
Data Table: Traditional vs. Minimally Invasive Fillings
Clearly, the advantages of minimally invasive fillings are evident. These fillings align with modern expectations for dental care. You want comfort, quick recovery, and preservation of your natural teeth.
For further insights into the benefits of these fillings, the CDC’s oral health resources provide valuable information. They highlight the importance of preserving oral health, a goal minimally invasive fillings support.
Overall, this shift in dental practices is positive. Your concerns are at the forefront. This approach ensures you maintain a healthy, confident smile. Embracing these advancements can transform your dental care experience. It creates a future where dental visits are less daunting and more rewarding.
